Клинический случай предоставлен ветеринарным врачом УЗД Блиновой Морией Александровной.
Клинический случай диагностики пиоторакса у кошки.
Пиоторакс (также известен как гнойный плеврит) — это заболевание, при котором в плевральной полости (пространстве между лёгкими и грудной стенкой) скапливается гной. Это состояние не является самостоятельной болезнью, а тяжёлым осложнением других воспалительных процессов в организме.
На КТ из сторонней клиники была направлена кошка около 5 лет для диагностики плевральной полости, конкретно - пиоторакса, предположительно ассоциированного с неопластическим процессом. Со слов владельца ранее дважды был проведен диагностический торакоцентез, при аспирации была получена плотная тягучая жидкость с хлопьями и сгустками, отведение через иглу 21-19G крайне затруднено; материал был направлен на бактериологический посев, а также сразу назначена антибиотикотерапия.
Подозрение на новообразование возникло скорее всего на основании рентгенологического исследования грудной клетки, а также фокусного УЗИ плевральной полости (достоверно неизвестно, так как отсутствовали выписки). Интересно, что на момент КТ пациент получал антибиотики уже несколько дней и значимо улучшился клинически, также уменьшилось количество свободной жидкости по УЗИ.
Для оценки объема плеврального выпота, а также чтобы минимизировать анестезиологические риски при проведении исследования, врач-анестезиолог направил пациента на УЗИ. При исследовании была выявлена следующая картина:
Наличие свободной жидкости: визуализируется.
Количество: незначительное/умеренное.
Локализация: в проекции преимущественно средних/краниальных долей в вентральной части плевральной полости. Характер выпота: неоднородный, с гипо- и гиперэхогенной взвесью в значительном количестве и гиперэхогенными мелкими включениями/тяжами, субъективно слабо флотирует при смене положения тела.
Клинический случай диагностики пиоторакса у кошки.
Пиоторакс (также известен как гнойный плеврит) — это заболевание, при котором в плевральной полости (пространстве между лёгкими и грудной стенкой) скапливается гной. Это состояние не является самостоятельной болезнью, а тяжёлым осложнением других воспалительных процессов в организме.
На КТ из сторонней клиники была направлена кошка около 5 лет для диагностики плевральной полости, конкретно - пиоторакса, предположительно ассоциированного с неопластическим процессом. Со слов владельца ранее дважды был проведен диагностический торакоцентез, при аспирации была получена плотная тягучая жидкость с хлопьями и сгустками, отведение через иглу 21-19G крайне затруднено; материал был направлен на бактериологический посев, а также сразу назначена антибиотикотерапия.
Подозрение на новообразование возникло скорее всего на основании рентгенологического исследования грудной клетки, а также фокусного УЗИ плевральной полости (достоверно неизвестно, так как отсутствовали выписки). Интересно, что на момент КТ пациент получал антибиотики уже несколько дней и значимо улучшился клинически, также уменьшилось количество свободной жидкости по УЗИ.
Для оценки объема плеврального выпота, а также чтобы минимизировать анестезиологические риски при проведении исследования, врач-анестезиолог направил пациента на УЗИ. При исследовании была выявлена следующая картина:
Наличие свободной жидкости: визуализируется.
Количество: незначительное/умеренное.
Локализация: в проекции преимущественно средних/краниальных долей в вентральной части плевральной полости. Характер выпота: неоднородный, с гипо- и гиперэхогенной взвесью в значительном количестве и гиперэхогенными мелкими включениями/тяжами, субъективно слабо флотирует при смене положения тела.
Заключение по УЗИ:
На момент исследования УЗ-признаки наличия свободной жидкости в плевральной полости в незначительном/умеренном количестве (пиоторакс/иное).
В связи с малым количеством выпота и предположительно наличием содержимого высокой плотности (что создало бы трудности при аспирации) было принято решение проводить КТ без предварительного торакоцентеза. Обычно важно отвести максимальный объем до томографии, чтобы облегчить дыхание пациенту в наркозе и получить более достоверные снимки, но в данном случае дренирование грудной полости не проводилось по причине отсутствия таковых рекомендаций от лечащего врача. Пациент был допущен до КТ и перенес процедуру без каких-либо проблем, реверсия из наркоза быстрая, сатурация на протяжении всего исследования не ниже 97%.
При оценке объема жидкости на УЗИ также были оценены основные структуры плевральной полости. Нам не удалось обнаружить предполагаемое новообразование, однако были выявлены признаки плеврита и реактивный лимфаденит - ожидаемая находка при пиотораксе, а также частичный ателектаз в проекции краниальных долей (сдавлены плотным выпотом) и единичные участки интерстициального и лоскутного признака, при этом каудальные доли имели нормальную воздушность и обеспечивали нормальное дыхание.
Результаты КТ подтвердили наши предположения по УЗИ: свернутые листки плевры и крупные реактивные лимфатические узлы могли имитировать новообразование на рентген-снимках, из-за чего могло изначально возникнуть неверное предположение, однако детализированное УЗИ и КТ опровергли его. Владельцу была разъяснена необходимость продолжить лечение у хирурга с обязательной постановкой плевральных дренажей и коррекцией курса антибиотика по результатам посева.
На момент исследования УЗ-признаки наличия свободной жидкости в плевральной полости в незначительном/умеренном количестве (пиоторакс/иное).
В связи с малым количеством выпота и предположительно наличием содержимого высокой плотности (что создало бы трудности при аспирации) было принято решение проводить КТ без предварительного торакоцентеза. Обычно важно отвести максимальный объем до томографии, чтобы облегчить дыхание пациенту в наркозе и получить более достоверные снимки, но в данном случае дренирование грудной полости не проводилось по причине отсутствия таковых рекомендаций от лечащего врача. Пациент был допущен до КТ и перенес процедуру без каких-либо проблем, реверсия из наркоза быстрая, сатурация на протяжении всего исследования не ниже 97%.
При оценке объема жидкости на УЗИ также были оценены основные структуры плевральной полости. Нам не удалось обнаружить предполагаемое новообразование, однако были выявлены признаки плеврита и реактивный лимфаденит - ожидаемая находка при пиотораксе, а также частичный ателектаз в проекции краниальных долей (сдавлены плотным выпотом) и единичные участки интерстициального и лоскутного признака, при этом каудальные доли имели нормальную воздушность и обеспечивали нормальное дыхание.
Результаты КТ подтвердили наши предположения по УЗИ: свернутые листки плевры и крупные реактивные лимфатические узлы могли имитировать новообразование на рентген-снимках, из-за чего могло изначально возникнуть неверное предположение, однако детализированное УЗИ и КТ опровергли его. Владельцу была разъяснена необходимость продолжить лечение у хирурга с обязательной постановкой плевральных дренажей и коррекцией курса антибиотика по результатам посева.
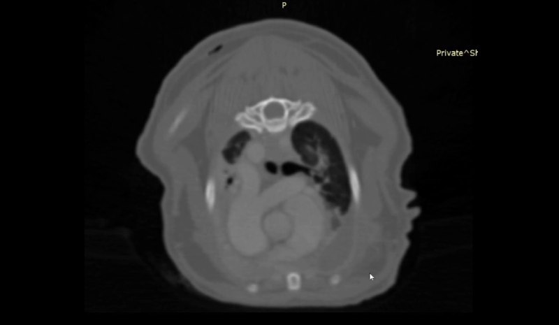
Компьютерная томография грудной клетки Описание:
• Проекция плечевых сплетений N
• Стенка грудной клетки N
• Грудина и ребра N
• Грудные молочные железы не увеличены
• Плевральная полость: контуры париетальной плееры бугристые выражено утолщены и с гиперперфузией - паттерн «скомканного полотенца» наибольший объем которого характерно располагается вентрально каудально за сердцем (в области кардиодиафрагмального контакта); характерный паттерн пролиферации и его распределение для пиоторакса; двусторонний плевральный выпот в умеренном на момент исследования количеств.
• Купол диафрагмы: целостность сохранена
• Легкие:
о Дифференциация долей / лобарных бронхов полная
о Полный компрессионный ателектаз КрЛеД с сохраненной перфузией и нормальными остроугольными краями
о Выраженные компрессионные уплотнения легочной паренхимы в вентральных сегментах всех прочих легочных долей ассоциированные с плевральным выпотом
о Плотность воздушной паренхимы легких около -750 НО - норма
□ BAS по Reid LE et al 2012 (кошки все 0,5-1 1 средн. 0.7W-0.1) 1
о ТЭЛА не визуализируется
о Сердце незначительно смещено дорсально за счет объема пролиферации мягкой ткани (фиброзная ткань наиболее вероятна)
о Магистральные сосуды большого круга без особенностей
о Стернальный лимфоузел: выраженное увеличение без четких контуров и область пролиферации мягкой ткани в их проекции, характерное для пиоторакса у кошек
о Прочие внутригрудные лимфатические узлы плохо визуализируются - норма для кошек
о Трахея и бифуркация (область интубации не оценивается) N, d - 6,6 мм
о Пищевод (общие мягкотканые контуры) N
Заключение:
1. KТ признаки пиоторакса в фиброзно-экссудативной стадии с выраженной фиброзной пролиферацией
2. Двусторонний плевральный выпот и компрессионные изменения легких
3. Признаков неопластического / метастатического роста не визуализируется
Комментарии:
• Проекция плечевых сплетений N
• Стенка грудной клетки N
• Грудина и ребра N
• Грудные молочные железы не увеличены
• Плевральная полость: контуры париетальной плееры бугристые выражено утолщены и с гиперперфузией - паттерн «скомканного полотенца» наибольший объем которого характерно располагается вентрально каудально за сердцем (в области кардиодиафрагмального контакта); характерный паттерн пролиферации и его распределение для пиоторакса; двусторонний плевральный выпот в умеренном на момент исследования количеств.
• Купол диафрагмы: целостность сохранена
• Легкие:
о Дифференциация долей / лобарных бронхов полная
о Полный компрессионный ателектаз КрЛеД с сохраненной перфузией и нормальными остроугольными краями
о Выраженные компрессионные уплотнения легочной паренхимы в вентральных сегментах всех прочих легочных долей ассоциированные с плевральным выпотом
о Плотность воздушной паренхимы легких около -750 НО - норма
□ BAS по Reid LE et al 2012 (кошки все 0,5-1 1 средн. 0.7W-0.1) 1
о ТЭЛА не визуализируется
о Сердце незначительно смещено дорсально за счет объема пролиферации мягкой ткани (фиброзная ткань наиболее вероятна)
о Магистральные сосуды большого круга без особенностей
о Стернальный лимфоузел: выраженное увеличение без четких контуров и область пролиферации мягкой ткани в их проекции, характерное для пиоторакса у кошек
о Прочие внутригрудные лимфатические узлы плохо визуализируются - норма для кошек
о Трахея и бифуркация (область интубации не оценивается) N, d - 6,6 мм
о Пищевод (общие мягкотканые контуры) N
Заключение:
1. KТ признаки пиоторакса в фиброзно-экссудативной стадии с выраженной фиброзной пролиферацией
2. Двусторонний плевральный выпот и компрессионные изменения легких
3. Признаков неопластического / метастатического роста не визуализируется
Комментарии:
- Представленный паттерн пролиферации мягкой ткани париетальной плевры не является абсолютно патогномоничным, но в значительно большей степени характерен именно для фиброзной пролиферации, почти всегда формирующемся у кошек при пиотораксе. Окончательная (официальная) верификация возможна только по p-там гистологического исследования, но оно редко проводится у подобных пациентов.
- Кошкам с такими находками строго рекомендована установка двусторонних плевральных дренажей и стационарное печение